Release Date: August 2, 2010 This content is archived.
BUFFALO, N.Y. -- Mark this one down as a parental nightmare.
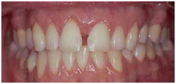
First, your child gets her tongue pierced. Then, as if you needed something else, she starts "playing" with the tiny barbell-shaped stud, pushing it against her upper front teeth. And before you know it, she forces a gap between those teeth -- a fraction-of-an-inch gap that may cost thousands of dollars in orthodontic bills to straighten.
How and why this happens has been documented in a case study by University at Buffalo researchers published in the July issue of the Journal of Clinical Orthodontics.
"It is a basic tenet of orthodontic that force, over time, moves teeth," explains the study's primary investigator, Sawsan Tabbaa, DDS, MS, assistant professor of orthodontics at the UB School of Dental Medicine.
Tabbaa notes that a previous UB dental school survey study of Buffalo high school students revealed that the presence of a barbell implant/stud caused a damaging habit whereby subjects pushed the metal stud up against and between their upper front teeth, a habit commonly referred to among the students as "playing."
"And it happened in very high percent of the cases," said Tabbaa.
That repeated "playing" with the stud may result in a gap as is demonstrated in Tabbaa's current case study.
The study involved a 26- year-old female patient examined at UB's orthodontic clinic who complained that a large space had developed between her upper central incisors or upper front teeth. The patient also had a tongue piercing that held a barbell-shaped tongue stud.
The tongue was pierced seven years earlier and every day for seven years she had pushed the stud between her upper front teeth, creating the space between them and, subsequently, habitually placing it in the space. The patient did not have a space between her upper front teeth prior to the tongue piercing.
"The barbell is never removed because the tongue is so vascular that leaving the stud out can result in healing of the opening in the tongue, said Tabbaa, "so it makes perfect sense that constant pushing of the stud against the teeth -- every day with no break -- will move them or drive them apart."
The patient provided the research team with photos that demonstrated she had no diastema, or space, prior to having her tongue pierced. For the purposes of treating this patient's space, it was assumed that positioning of the tongue stud between the maxillary central incisors or "playing" caused the midline space.
Her treatment involved a fixed braces appliance to push the front teeth back together.
Tongue piercing can result in serious injury not just to teeth but has also been associated with hemorrhage, infection, chipped and fractured teeth, trauma to the gums and, in the worst cases, brain abscess, said Tabbaa.
"The best way to protect your health, your teeth and your money is to avoid tongue piercing."
The University at Buffalo is a premier research-intensive public university, a flagship institution in the State University of New York system and its largest and most comprehensive campus. The School of Dental Medicine is one of five schools that constitute UB's Academic Health Center. UB's more than 28,000 students pursue their academic interests through more than 300 undergraduate, graduate and professional degree programs. Founded in 1846, the University at Buffalo is a member of the Association of American Universities.
Sara Saldi has retired from University Communications. To contact UB's media relations staff, call 716-645-6969 or visit our list of current university media contacts. Sorry for the inconvenience.
No events scheduled.