Skip to Content
UB Alert
Emergency Information
(29-Dec-25 3:31 pm) UB Alert: Non-essential UB employees advised to telecommute where possible on Tuesday; online winter session classes will be held as scheduled.
(UB)
Jacobs School of Medicine and Biomedical Sciences
University at Buffalo (UB)
Jacobs School of Medicine and Biomedical Sciences
Department of Orthopaedics
Contact Us
Apply
Toggle Navigation Menu
10/20/20
About
10/20/20
Education & Training
11/10/21
Faculty
2/11/25
Research
10/20/20
Patient Care
10/17/25
News & Events
10/20/20
About
10/20/20
Education & Training
11/10/21
Faculty
2/11/25
Research
10/20/20
Patient Care
10/17/25
News & Events
Search
Info For
Info For
Residents
Students
Contact Us
Apply
Orthopaedics
>
Education & Training
>
Education Resources
>
Tumor Unknown Archive
>
Orthopaedic Tumor Matrix
>
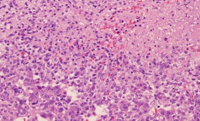
Giant Cell Tumor
Education & Training
Orthopaedic Residency
Adult Reconstructive Surgery Fellowship
Hand and Upper Extremity Fellowship
Orthopaedic Sports Medicine Fellowship
Message from the Program Director
Educational Curriculum
Training Facilities
Teaching and Learning Facilities
Our Fellows and Alumni
Salary, Benefits and Support
How to Apply
Contact Us
Primary Care Sports Medicine Fellowship
Medical Student Education
Continuing Medical Education
Education Resources
Grand Rounds Lectures
Images of Musculoskeletal Oncology
Orthopaedic Medical Tutorials
Tumor Unknown Archive
Teaching and Learning Facilities
How to Apply
Giant Cell Tumor