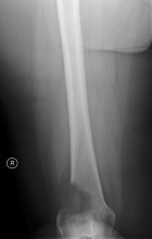
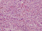
60 year old female with a three month history of mild right knee pain, history of breast cancer, remote smoking history
Import medical school events to your Exchange, Gmail, iPhone or iPod calendar. Customize your calendar by selecting different event categories and receive automatic reminders of the school events that matter most to you.