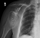
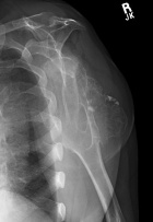
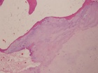
68 yo male with complaints of right shoulder pain with repetitive activities and modified with rest. History of multiple orthopaedic surgeries in the past. He denies history of trauma or constitutional symptoms.
PE: Elderly male in good overall health. Short stature. Palpable mass in posterior right shoulder. Nontender w/o edema or overlying skin changes. Limited ROM in all dimensions. NVI w/o LAN.
Import medical school events to your Exchange, Gmail, iPhone or iPod calendar. Customize your calendar by selecting different event categories and receive automatic reminders of the school events that matter most to you.