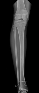
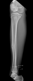
15 yo female with 8 mo h/o aching, right anterior leg pain. C/o of pain at night and with activity alleviated w/ rest and ibuprofen. She denies h/o trauma or constitutional symptoms.
PE: Bony prominence at right anterior tibia w/o notable edema or erythema. Full ROM at knee. NVI. No LAN.
Import medical school events to your Exchange, Gmail, iPhone or iPod calendar. Customize your calendar by selecting different event categories and receive automatic reminders of the school events that matter most to you.