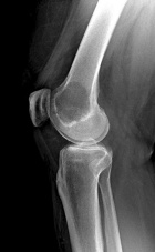
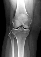
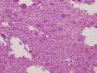
48 yo female w/ 3 mo h/o of R knee pain. Increasing w/o h/o trauma. C/o edema and pain with activity with mild alleviation with rest.
PE: RLE mod effusion about knee with pain at medial femoral condyle. No erythema. Painful ROM 0-130 at knee. No instability. NVI w/o LAN.
Import medical school events to your Exchange, Gmail, iPhone or iPod calendar. Customize your calendar by selecting different event categories and receive automatic reminders of the school events that matter most to you.