Skip to Content
(UB)
Jacobs School of Medicine and Biomedical Sciences
University at Buffalo (UB)
Jacobs School of Medicine and Biomedical Sciences
Department of Orthopaedics
Give  Orthopaedic Department Enrichment Fund
Contact Us
Apply
  • 10/20/20 About
  • 10/20/20 Education & Training
  • 11/10/21 Faculty
  • 2/11/25 Research
  • 10/20/20 Patient Care
  • 1/9/26 News & Events
  • 10/20/20 About
  • 10/20/20 Education & Training
  • 11/10/21 Faculty
  • 2/11/25 Research
  • 10/20/20 Patient Care
  • 1/9/26 News & Events
Search
Info For
  • Residents
  • Students
Give  Orthopaedic Department Enrichment Fund
Contact Us
Apply
  • Orthopaedics >
  • Education & Training >
  • Education Resources >
  • Tumor Unknown Archive >
  • Orthopaedic Oncology Cases >
  • June 13, 2011 >
  • Case 1
Education & Training
  • Orthopaedic Residency
  • Adult Reconstructive Surgery Fellowship
  • Hand and Upper Extremity Fellowship
  • Orthopaedic Sports Medicine Fellowship
    • Message from the Program Director
    • Educational Curriculum
    • Training Facilities
    • Teaching and Learning Facilities
    • Our Fellows and Alumni
    • Salary, Benefits and Support
    • How to Apply
    • Contact Us
  • Primary Care Sports Medicine Fellowship
  • Medical Student Education
  • Continuing Medical Education
  • Education Resources
    • Grand Rounds Lectures
    • Images of Musculoskeletal Oncology
    • Orthopaedic Medical Tutorials
    • Tumor Unknown Archive
  • Teaching and Learning Facilities
  • How to Apply

Case 1

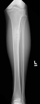
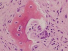
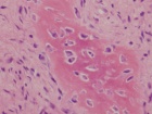
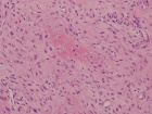
17 year old male c/o left shin pain. He is active in sports. First noted pain while running and with activities. Pain has been intermittent over 9 month period but more constant recently. A palpable lump is present on the left tibia which has not changed in size.

Zoom image: Radiological image Radiological image.
Zoom image: Radiological image Radiological image.
Zoom image: Cell stain Cell stain.
Zoom image: Radiological image Radiological image.
Zoom image: Radiological image Radiological image.
Zoom image: Cell stain Cell stain.
Zoom image: Radiological image Radiological image.
Zoom image: Cell stain Cell stain.

Faces and Voices

previous next
  • Zachary Troiani, MD.
    “We are very much like a family in that there are some times where we butt heads, but we are a fun bunch who are good at what we do and have a blast doing it.”
    3/23/26

    Zachary Troiani, MD
    Resident, Department of Orthopaedics 

  • Christine Etzel, MD.
    “I learn best through hands-on experience and love coaching/teaching. I wanted to be a part of an environment that encouraged that behavior in its residents and attendings.”
    3/24/26

    Christine Etzel, MD
    Resident, Department of Orthopaedics

  • Alexandra DiVasta, MD.
    “I think one of the most important ways to avoid burnout at the workplace is enjoying the people around you, as well as enjoying what you do.”
    3/24/26

    Alexandra DiVasta, MD ’25
    Resident, Department of Orthopaedics

  • Susan Daoust.
    Growing up, I was not exposed to STEM-based specialties. Now, I can share opportunities with women and minorities that they might not have considered.
    12/1/20

    Susan Daoust, MD
    Associate professor of orthopaedics

  • Jennifer Gurske-dePerio.
    There were no mentors for me growing up. We're here: Shadow with us, ask any questions. We're happy to to mentor you.
    12/1/20

    Jennifer Gurske-dePerio, MD
    Clinical assistant professor of orthopaedics

  • Amy Jacobs, PhD.
    “It is amazing to see somebody go from not knowing how to hold a knife in the operating room to where they’re putting implants in — and they’re doing it well. It’s very fulfilling and it gives me purpose.”
    4/23/21

    K. Keely Boyle, MD
    Orthopaedics ’19
    Clinical assistant professor of orthopaedics

See All
Upcoming Events
Apr
07
2026
Orthopaedic Surgery Residency Journal Club
6:00 pm - 8:00 pm
ECMC Smith Aud
Apr
09
2026
Orthopaedic Surgery Residency Grand Rounds
7:00 am - 9:00 am
ECMC Smith Aud
Apr
15
2026
Orthopaedic Surgery Residency Journal Club
6:00 pm - 8:00 pm
ECMC Smith Aud
See all upcoming events

Import medical school events to your Exchange, Gmail, iPhone or iPod calendar. Customize your calendar by selecting different event categories and receive automatic reminders of the school events that matter most to you.

Import school events to your calendar

Affiliated Hospitals

previous next
  • Buffalo General Medical Center.
    Buffalo General Medical Center/Gates Vascular Institute
    5/13/25

    Located on the Buffalo Niagara Medical Campus, Buffalo General Medical Center offers a wide spectrum of clinical inpatient and outpatient treatment programs.

  • Erie County Medical Center.
    Erie County Medical Center
    5/13/25

    This 550-bed medical center is one of the area’s leading health care providers. It serves as a regional center for trauma, burns, rehabilitation and cardiac care.

  • Street view of Golisano Children’s Hospital.
    Golisano Children’s Hospital of Buffalo
    3/30/26

    The only freestanding children’s hospital in New York State, this regional center for specialized pediatric and women’s health care has achieved national recognition and is the access point for pediatric critical care as the region’s only Level I Pediatric Trauma Center.

  • Kaleida Health logo.
    Kaleida Health Group
    3/30/26
    Kaleida Health System is the largest health care provider in Western New York, serving the region’s eight counties with five hospitals and numerous other facilities and services.
  • Roswell Park Comprehensive Cancer Center.
    Roswell Park Comprehensive Cancer Center
    5/13/25

    A National Cancer Institute-designated comprehensive cancer center. For more than a century, Roswell Park’s physician-scientists have made fundamental contributions to reduce the cancer burden and helped set national standards for cancer care, research and education.

See All
  • Departments >
  • Orthopaedics >
  • Education & Training >
  • Education Resources >
  • Tumor Unknown Archive >
  • Orthopaedic Oncology Cases >
  • June 13, 2011 >
  • Case 1
Site Index

Jacobs School of Medicine and Biomedical Sciences

  • 1/23/26 Contact Information
  • 7/27/23 Maps and Directions

Join the School

  • 1/21/26 Apply to the School
  • Jobs at UB

Get Involved

  • Give to the School
  • 11/4/19 Find a Clinical Trial
  • 1/31/18 Donate My Body To Science

Find People

  • 8/24/21 Faculty A-Z List
  • Find a Researcher

UB Health Sciences

The Jacobs School is one of UB's six health sciences schools.

  • 12/5/25 Visit Health Sciences

Connect with Us

Jacobs School on Facebook
Jacobs School on Instagram
Jacobs School on X
Jacobs School on Linkedin
Jacobs School on YouTube
Report an Incident

About The School

  • 3/30/26 Leadership and Administration
  • 1/14/25 News and Events
  • About the Buffalo Niagara Region

Centers and Affiliations

  • 7/18/25 Research Centers
  • 7/31/19 Hospital and Research Affiliations

Education and Training

  • 1/21/26 Admissions
  • 3/12/26 Departments
  • 3/25/26 Programs
  • 10/14/25 Accreditation

Research Facilities and Services

  • 7/18/25 Core Facilities

Health Care

  • UBMD
  • Find a Doctor
  • Hospital Affiliates
  • 2/16/26 WNY Long COVID Registry

Resources by Audience

  • 3/25/26 Current Students
  • 7/24/24 Current MD Students
  • 10/18/24 Current Residents
  • 2/3/26 Current Faculty and Staff
  • 7/18/25 Research Community

Alumni and Friends

  • 11/26/25 Medical Alumni Association
  • UB Alumni Association
  • 1/30/26 UB Medicine magazine

Governance

  • 3/4/26 Faculty Council
  • Medical Student Government (Polity)
  • Graduate Student Association
  • Undergraduate Student Association
  • 3/24/26 Policy Library

Learning Resources

  • Health Sciences Library
  • Clinical Resources Guide
  • Mobile Med
  • MyUB
  • UB Learns (Brightspace)
  • MedHub
  • 4/22/24 CloudMed
  • 1/21/26 Calendar Sutures
  • Lecture recordings
  • 12/9/25 Medical Student Schedules
  • UB Academic Calendar

Support Services

  • 10/3/24 Office of Facilities Planning and Management
  • 10/18/24 Office of Graduate Medical Education
  • 3/21/24 Offices of Medical Education
  • 11/4/25 Room requests
  • 3/5/26 Tech support (OMC)

Site Tools

  • Post an event to the calendar
  • Update your UB Profile
  • 2/9/26 Report a website problem
  • 3/13/24 Contact our web team
University at Buffalo (UB), The State University of New York

Jacobs School of Medicine and Biomedical Sciences

 University at Buffalo. All rights reserved.  |  Privacy  |  Accessibility

Your Privacy is Important To Us.

Buffalo.edu uses cookies to help build a better website experience for our visitors. Learn more in our Privacy Policy.