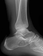
37 year old male reports a one year history of increasing pain and discomfort in his left heel. He reports that his pain is exacerbated with activity, relieved by rest. It is a 9/10 pain. He reports that at times it is constant and also occasionally awakens him at night. He denies any history of trauma. He is currently taking Motrin for the pain.
Import medical school events to your Exchange, Gmail, iPhone or iPod calendar. Customize your calendar by selecting different event categories and receive automatic reminders of the school events that matter most to you.