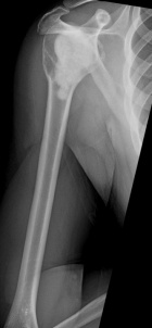
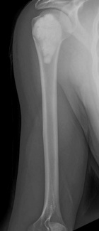
28 y/o male eight years s/p curettage and cementation for a right proximal humerus lesion found to be an aggressive enchondroma; presents with increasing R shoulder pain, worse with activity and direct pressure
Soc: Nonsmoker
PE: Healed surgical scar R shoulder, no TTP, mild edema, no LAN; FAROM, neurovascularly intact, 5/5; pain reproduced with shoulder extension and pulling
Import medical school events to your Exchange, Gmail, iPhone or iPod calendar. Customize your calendar by selecting different event categories and receive automatic reminders of the school events that matter most to you.